Terug

Scolioseoperatie bij kinderen en jongvolwassenen

Patiëntfolder

Informatie voor ouders

Uw kind komt voor een onderzoek, behandeling of ingreep naar het ziekenhuis. Ieder kind en iedere ouder beleeft dit op zijn eigen manier. Het kan zijn dat er sprake is van spanning of onzekerheid. U en uw kind krijgen te maken met een nieuwe wereld, nieuwe mensen en onbekende situaties. Wij vinden het belangrijk om u en uw kind hierbij goed te begeleiden.

Deze folder is bedoeld om uw kind voor te bereiden. Maar ook om u te informeren over wat er gaat gebeuren. Als jullie weten wat jullie te wachten staat, geeft dat een gevoel van zekerheid en vertrouwen.

Een deel van de voorlichting gebeurt in het ziekenhuis. De arts bespreekt met u, en als het mogelijk is ook met uw kind:

  • Waarom uw kind dit onderzoek, deze behandeling of ingreep krijgt
  • Hoe we dit onderzoek, deze behandeling of ingreep doen

Thuis stellen kinderen vaak meer vragen dan in het ziekenhuis. Uw kind vertrouwt u. Daarom kunt u het beste uitleggen wat er gaat gebeuren. U weet welke informatie uw kind begrijpt en kan verwerken. Deze folder helpt u bij de voorbereiding.

Lees de folder éérst zelf. Zodat u goed weet wat er gaat gebeuren. U kunt de tekst daarna voorlezen of in uw eigen woorden navertellen. Oudere kinderen kunnen natuurlijk zelf (mee)lezen. Bespreek achteraf samen of alles duidelijk is. Schrijf eventuele vragen op, zodat jullie die nog kunnen stellen in het ziekenhuis.

Verderop staan tips hoe u uw kind kunt voorbereiden en begeleiden bij het onderzoek, de behandeling of de ingreep.

Jongeren en WGBO: jouw rechten in de medische zorg

https://www.hetwkz.nl/nl/voorlichting/jongeren-en-wgbo/folder wgbo qr code

Je komt in ons ziekenhuis voor een operatie aan je rug. Tijdens de operatie probeert de dokter de bocht in je wervelkolom (je ruggegraat) zoveel mogelijk recht te maken. Dat heet een scoliose-operatie.

Een scoliose is een draaiing en zijwaartse verkromming van de wervelkolom. Als je groeit, kan deze bocht erger worden. Je kunt dan klachten krijgen, bijvoorbeeld pijn of moeite met ademhalen. Om deze klachten te voorkomen of te verhelpen is soms een operatie nodig. Bij de operatie maakt de orthopedisch chirurg de wervelkolom zo recht mogelijk en zet een aantal wervels vast.

De operatie kan op twee manieren plaatsvinden:

  1. Via je rug (aan de achterkant)
  2. Via je borstkas (via de voorkant/zijkant)

De wervelkolom

De wervelkolom is een soort ketting van botjes (wervels) die door je rug loopt. Hij begint boven in je nek en loopt helemaal door tot aan je stuitje. De schouderbladen, de ribben en het bekken zitten aan de wervelkolom vast. Ook veel belangrijke spieren zitten er aan vast. De wervelkolom bestaat uit 26 wervels. Ze passen als puzzelstukjes bovenop elkaar.

Je hebt allerlei verschillende wervels:

  1. Zeven nekwervels
  2. Twaalf borstwervels
  3. Vijf lendenwervels
  4. Een heiligbeen
  5. Een staartbeentje (stuitje)

Tussen elke twee wervels zit een schijf van zachter materiaal (een tussenwervelschijf). Dat is een soort schokdemper. Het zorgt ervoor dat je wervels niet zo snel slijten en dat ze soepel kunnen bewegen.

De wervelkolom is hol. Binnenin zit het ruggenmerg. Dat is een lange zenuwkabel. Vanuit het ruggenmerg groeien zenuwwortels naar de rest van het lichaam.

Bij iedereen zit in de wervelkolom een aantal bochten. Die gaan van voor naar achter. Dat is normaal. Als je scoliose hebt, zijn je ruggenwervels vergroeid. Daardoor heb je een abnormale bocht in je rug. Die bocht loopt naar links of rechts.

Voorbereiding uitklapper, klik om te openen

Vóór de operatie: foto's en de POS-poli

De orthopedisch chirurg heeft samen met jou en je ouders besloten dat een operatie kan helpen. Om goed te kunnen zien wat het resultaat van de operatie is, maken we foto’s van je rug. Dat zijn gewone foto’s. We maken die voor de operatie en na de operatie. Zo zien we of er verschil is.

Een tijdje vóór de operatie aan je rug, heb je een afspraak op de POS-poli. POS-poli is de afkorting van: Pre Operatief Spreekuur. Dat betekent: het spreekuur vóór een onderzoek, behandeling of operatie onder narcose.

Narcose wil zeggen dat je gaat ‘slapen’ met behulp van medicijnen. Je voelt niks van de operatie. We noemen dit slapen, maar eigenlijk is het geen gewone slaap. Als je onder narcose bent, kun je namelijk niet uit jezelf wakker worden.

De anesthesioloog is de dokter die jou de slaapmedicijnen gaat geven. Hij zorgt voor jou als je onder narcose bent en hij zorgt er ook voor dat je weer wakker wordt als de ingreep klaar is. We noemen hem ook wel de slaapdokter.

De POS-poli is in het WKZ op de 1e verdieping.

Op de POS-poli heb je, samen met je ouders een gesprek met de POS-verpleegkundige of met de anesthesioloog zelf.

Wat gebeurt er op de POS-poli?

Op de POS-poli willen ze van alles weten over je gezondheid. Bijvoorbeeld:

  1. welke ziektes je hebt gehad
  2. of je koorts hebt
  3. of je verkouden bent.

Soms meten ze je gewicht, je lengte, je bloeddruk of je hartslag.

Meestal nemen ze wat bloed af om te onderzoeken.

Ze bespreken met jou en je ouders:

  1. hoe het gaat als je onder narcose gaat.
  2. hoe jij het beste de narcose kunt krijgen: met een infuus of met een kapje.
  3. Wat jou kan helpen als je je vervelend voelt of bang bent. Als je tegen de narcose op ziet of er vragen over hebt, bespreek dat dan met de POS-verpleegkundige of de slaapdokter. Heb jij of hebben je ouders behoefte aan voorbereiding en/of begeleiding dan mag je altijd naar de medisch pedagogisch zorgverlener vragen.

Voor ouders: medicijnen

  1. Gebruikt uw kind bloedverdunningsmiddelen? Dan kan het zijn dat uw kind deze al vóór de operatie niet meer mag nemen. Overleg dit vóór de opnamedag al met de arts.
  2. Gebruikt uw kind insuline? Dan raden we u aan om met de arts te overleggen. Misschien is het beter de dosis aan te passen.
  3. Is uw kind allergisch, bijvoorbeeld voor pleisters? Meld dit dan altijd.
  4. (Kinder)aspirine® is een pijnstiller die het bloed verdunt. Daardoor is er meer kans op nabloedingen. Geef uw kind daarom minstens twee weken voor de operatie geen (kinder)aspirine®. Als uw kind een pijnstiller nodig heeft, kunt u wel (kinder)paracetamol geven.

Kort voor de operatie mag uw kind geen vaccinatie krijgen. We houden de volgende periode aan:

  1. twee dagen voor de narcose geen DKTP- en meningokokken-vaccinatie
  2. twee weken voor de narcose geen BMR-vaccinatie

Vóór de operatie

Opname

Eén dag voor de operatie word je opgenomen op de kinderafdeling. Je krijgt dan eerst een rondleiding. Een verpleegkundige vertelt je over de gang van zaken op de verpleegafdeling.

Als je wilt, mag je samen met je ouders al even op de uitslaapkamer kijken. Misschien vind je het fijn om de voorbereidingsspullen nog een keer te bekijken. Dat kan ook op de afdeling.

Bij sommige kinderen komt de fysiotherapeut voor de operatie langs. Hij geeft uitleg over ademhalingsoefeningen. Dat is belangrijk om te doen na de operatie.

De operatie dag

Op de dag van de operatie mag je ’s ochtends niet meer eten en minder drinken. Voor de laatste informatie hierover kijk je op www.hetwkz.nl/nl/operatie-ingreep-onderzoek-onder-anesthesie.

Darmen leeg maken

Voor de operatie moeten je darmen leeg zijn. Je krijgt daarvoor een middel dat helpt om je darmen goed leeg te maken.

Tabletjes

Om ervoor te zorgen dat je na de operatie zo min mogelijk pijn hebt, krijg je van tevoren een paar tabletjes. We weten dan zeker dat ze tijdens de operatie goed zijn ingewerkt.

Naar de operatiekamer

Voordat je naar de operatiekamer gaat, krijg je een operatiejasje aan en een naambandje om je arm. Als je aan de beurt bent, ga je in bed liggen.

Een verpleegkundige en een medisch pedagogisch zorgverlener, brengen je in je bed naar de operatieafdeling. Je vader, moeder of verzorger mogen mee. een van hen blijft bij je totdat je slaapt.

Infuus

Tijdens de operatie is het nodig dat je vocht toegediend krijgt. Dat doen we via een infuus. De anesthesioloog brengt het infuus in.

Wat is een infuus?

Je krijgt een infuus. Hiervoor geven we je een prik in je hand of je arm. Daarna blijft er een dun, plastic buisje in je bloedvat zitten.

Aan dit buisje maken we een slangetje vast. We noemen dit een infuus. Via dat buisje komen er bijvoorbeeld medicijnen in je lichaam. Ook kunnen we via het

infuus bloed afnemen. Voor iedereen is een prik anders. Om te zorgen dat je er minder van voelt, kunnen we je huid verdoven met EMLA® zalf, ook wel toverzalf. De zalf brengen we een uur vooraf aan op de

juiste plek. Als het infuus goed zit krijg je meestal een spalkje: met verband maken we een stevig, langwerpig kussentje vast onder je hand of arm.

Wil je meer weten over een infuus?

  1. Kijk dan op www.hetwkz-kind.nl of vraag de folder over het infuus.
  2. Speel de Prik! app. Hiermee kun je precies zien wat we doen als jij een infuus krijgt.

Tijdens de behandeling uitklapper, klik om te openen

Als je in slaap bent, maken we eerst allemaal draadjes aan je voeten en armen die ervoor zorgen dat tijdens de operatie je zenuwen steeds kunnen worden getest. Dit heet neuromonitoring. Dan begint de operatie. De chirurg zorgt dat de rugwervels vrij komen te liggen zodat hij erbij kan.

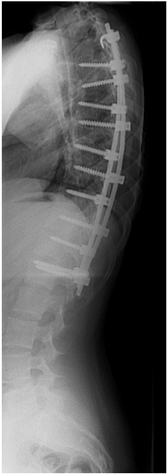
De wervelkolom wordt vastgezet met behulp van metalen staven en schroeven. Op sommige plaatsen maakt de chirurg de wervels beter passend door wat bot weg te halen. Dit zorgt ervoor dat alles stevig vast groeit.

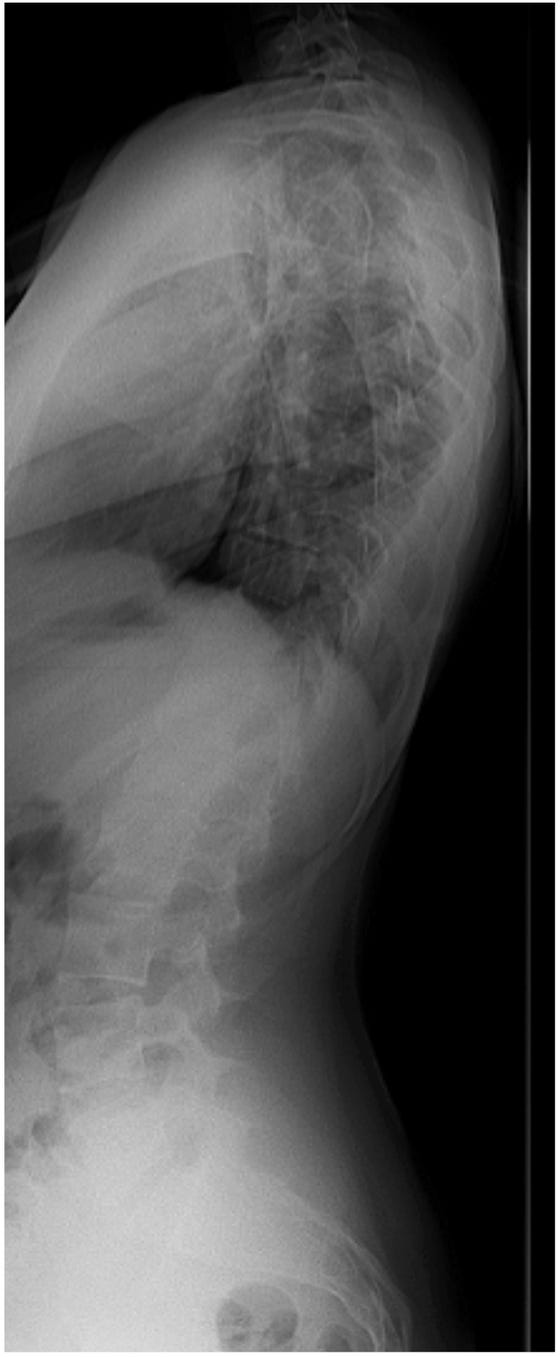
Op de röntgenfoto’s kun je zien hoe de wervelkolom er voor en na de operatie uit ziet.

Figuur 1: scoliose voor de operatie

Figuur 2: scoliose na de operatie

Als de operatie bijna klaar is, leggen we nog één of twee slangetjes bij de wervels voor pijnstilling. Dit heet een epiduraal drain. Hiermee kan verdoving precies op de plaats van de wond komen.

Na de behandeling uitklapper, klik om te openen

Zelfs als de operatie helemaal goed is gedaan (“volgens het boekje”), kunnen er problemen ontstaan. Zulke problemen noemen we complicaties.

Complicaties

Een scoliose-operatie is eigenlijk heel erg veilig. Heel soms kan er toch iets mis gaan. Er bestaat een kans dat je een paar dagen na de operatie een ontsteking (infectie) krijgt. Deze ontsteking is meestal goed te behandelen met medicijnen.

Om de bocht van de wervelkolom recht te zetten, opereren we vlakbij het ruggenmerg en de zenuwen. Het ruggenmerg en de zenuwen kunnen hierdoor geïrriteerd raken. De chirurg controleert dit met speciale apparaten. Toch is er altijd een hele kleine kans dat het ruggenmerg en/of de zenuwen beschadigen. Hierdoor kunnen de romp of benen verlamd zijn en/of pijn doen. Dit komt gelukkig bijna niet voor.

De mogelijkheid bestaat dat de gecorrigeerde bocht in de wervelkolom niet goed vastgroeit. Dat noemen we een pseudarthrose. Ook dit is zeldzaam. Om dit te voorkomen mag je de eerste maanden niet maximaal kracht zetten op de rug.

Na de operatie

Op de uitslaapkamer

Meteen na de operatie ga je naar de uitslaapkamer. Dat is een afdeling naast de operatieafdeling. We letten daar extra goed op je. Vaak ben je nog erg slaperig als je op de uitslaapkamer komt. Je ouders of verzorgers mogen daar bij je zijn.

Na de operatie lig je gewoon op je rug. Op de uitslaapkamer vragen we regelmatig of je het goed voelt als we je armen en benen aanraken. Je wordt wakker met een infuus, een blaaskatheter en een epiduraal katheter. Dit is een dun draadje in je rug voor pijnstilling.

Wanneer je behalve scoliose ook een spier- of zenuwziekte hebt, dan ga je na afloop van de operatie meestal eerst naar de intensive care. Als dat niet zo is en je bent verder goed gezond, dan ga je vanuit de uitslaapkamer terug naar de verpleegafdeling.

Weer terug op de verpleegafdeling

De eerste dag na de operatie kun je nog niet uit bed. Je mag wel een beetje rechtop zitten en 6 uur na de operatie mag je draaien, als dat nodig is met hulp van de verpleegkundige. De verpleegkundige op de afdeling zorgt ervoor dat je voldoende medicijnen krijgt om je goed te voelen.

De eerste dagen na deze operatie werken je darmen minder goed. Je moet daarom in het begin rustig aan doen met drinken en eten. Anders word je misselijk en moet je misschien overgeven. Als je veel last hebt van je darmen kunnen we je ook medicijnen geven.

De verpleegkundige op de afdeling vertelt wat je mag drinken en (later) mag eten. Als het drinken goed gaat, dan mogen het infuus en de blaaskatheter eruit.

Uit bed

Vanaf de 1e dag ga je onder begeleiding van de verpleegkundige of fysiotherapeut op de rand van je bed zitten, in de (rol)stoel zitten en rondlopen. Als dat goed gaat, mag je steeds meer zelf doen. De verpleegkundige/fysiotherapeut en de dokter vertellen je verder wat je wel en niet mag doen. Onder het kopje “wat mag je wel, wat mag je niet” staan meer leefregels.

Naar het revalidatiecentrum

Als je een spier- of zenuwziekte hebt, vindt de hele behandeling plaats in overleg met de revalidatiearts Als je niet naar huis kunt, ga je een paar dagen na de operatie naar het revalidatiecentrum.

De wond

Vanaf de 3e dag na de operatie mag je weer douchen. De wondpleister moet 5 dagen blijven zitten. De wond is gehecht met oplosbare hechtingen die hoeven niet verwijderd te worden. Wel mag de huisarts eventueel na 14 dagen de knoopjes aan beide kanten van de wond afknippen.

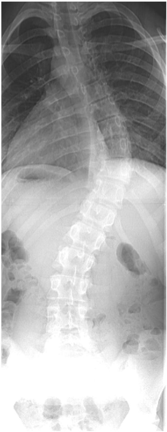
Controle röntgenfoto

Vlak voor je naar huis gaat maken we ter controle een röntgenfoto van je wervelkolom.

Ontslag

Meestal blijf je 5 tot 7 dagen in het ziekenhuis. Daarna mag je naar huis. Soms vindt de dokter het beter als je nog wat langer blijft. Als dat zo is, bespreekt hij dat met jou en je ouders. Als je thuis bent, mag je zelf de oefeningen doen die je in het ziekenhuis hebt geleerd. Je krijgt geen gips of korset om je rug.

Leven met uitklapper, klik om te openen

Wat mag je wel, wat mag je niet?

Leefregels voor schoolgaande kinderen na de operatie

Na 2 tot 6 weken kunnen de meeste kinderen weer naar school.

Voor jou en voor je ouders/verzorgers is het belangrijk om goede voorbereidingen te treffen.

Voor ouders

  1. De eerste weken lukt het vaak nog niet de hele dag op school te blijven. Voor ieder kind is verschillend wat wel en niet kan. Ook fietsen is de eerste maanden vaak niet goed mogelijk, omdat kracht en coördinatie nog onvoldoende zijn. Op zich mag fietsen wel wanneer het risico op vallen niet groter is dan normaal.
  2. Wij adviseren om van tevoren een gesprek aan te vragen met de conrector of mentor van uw kind.

Maak goede afspraken over:

  1. opbouwend (in uren of dagdelen) beginnen met school
  2. wisselen van houding: vraag of het mogelijk is om in de klas van zithouding naar stahouding te gaan (en andersom) bij vermoeidheid of pijn in de rug
  3. wisselen van klaslokaal: Vraag of uw kind wat meer tijd krijgt om te wisselen van klas. Denk aan afstanden tussen klaslokalen en eventueel traplopen, wat nu waarschijnlijk meer tijd zal kosten
  4. goede uitleg aan de klasgenoten over de operatie en instructies over wat wel en niet mag: dus niet plotseling trekken of duwen!
  5. voor uw zoon of dochter geldt: vraag een klasgenoot of die jouw schooltas wil dragen in de eerste paar weken. Zodra dit gaat zonder klachten, mag dit weer wel zelf.

Het duurt 6 tot 9 maanden voordat jouw ruggenwervel goed genezen is.

Gedurende die periode adviseren wij om de rug steeds meer te gaan belasten zolang dit geen pijn doet. Je kunt dus meedoen met sporten en trainingen zolang dat pijnloos gaat. Wat je echt moet vermijden zijn plotselinge belastingen van de rug waar je geen controle over hebt. Voorbeelden daarvan zijn situaties die ontstaan bij vecht- en wedstrijdsporten, of onverwachte gebeurtenissen als vallen.

Veel gestelde vragen

Gaan de poortjes af bij het vliegveld?

Het materiaal in je rug kan door de poortjes worden ‘gezien’. Als dat gebeurt, kun je uitleggen dat je bent geopereerd aan je rug en zo nodig het litteken laten zien. Een briefje van het ziekenhuis is niet nodig.

Kunnen vrouwen na een scoliose nog gewoon kinderen krijgen?

Ja, alleen als ook de lendenwervels zijn vastgezet is een ruggenprik soms niet meer mogelijk.

Heb je nog vragen of opmerkingen?

Schrijf ze op, dan kun je ze niet vergeten. Je kunt ze stellen als je in het ziekenhuis bent.

Voor andere vragen ’scoliose-operatie’ kun je bellen met de polikliniek Kinder-orthopedie:

  1. op maandag-, dinsdag- en woensdagmorgen van 08.30 tot 12.00 uur en op vrijdagmiddag van 13.30 tot 16.30 uur
  2. telefoonnummer 088 75 674 70

Voor vragen of advies kun je contact op nemen met de medisch pedagogische zorg: Medische pedagogische zorg - Het WKZ

Je ouders kunnen deze nummers ook bellen.

Heb je opmerkingen over de behandeling die je hebt gekregen, dan horen wij dat heel graag. Jij kunt ons het beste vertellen welke dingen volgens jou goed gaan en welke dingen beter kunnen. Je kunt dit zelfs zonder je naam te hoeven noemen aan ons mailen: kinderorthopedie@umcutrecht.nl

Zorgkosten uitklapper, klik om te openen

Meer over zorgkosten

Contact uitklapper, klik om te openen

Als u een afspraak wilt maken op de polikliniek orthopedie, hebt u een verwijzing nodig van uw huisarts of specialist.

Polikliniek Orthopedie

088 75 674 70

kinderorthopedie@umcutrecht.nl

De polikliniek is op maandag tot en met woensdag bereikbaar van 8.30 - 12.00 uur.
U kunt altijd een e-mail sturen.
Overige contactgegevens

U kunt voor algemene vragen (bijvoorbeeld over geplande afspraken) contact opnemen met de polikliniek op werkdagen tussen 8:30 en 16:30 uur.
T: 088 75 540 70

Gipskamer
Bent u bekend bij de gipskamer en hebt u vragen of problemen? Neem dan contact op met de gipskamer
De gipskamer is bereikbaar van 8.30 - 16.30 uur.

Voor ouders: voorbereiding en begeleiding

https://www.hetwkz.nl/nl/uw-kind-voorbereiden tips qr code

Contact

Afspraken

Praktisch

hetwkz.nl maakt gebruik van cookies

Deze website maakt gebruik van cookies Deze website toont video’s van o.a. YouTube. Dergelijke partijen plaatsen cookies (third party cookies). Als u deze cookies niet wilt kunt u dat hier aangeven. Wij plaatsen zelf ook cookies om onze site te verbeteren.

Lees meer over het cookiebeleid

Akkoord Nee, liever niet